你知道吗?蛀牙这东西,真是让人头疼不已。有时候,它不仅让你吃不了美食,还可能让你的牙齿痛到无法忍受。今天,就让我带你一起揭开蛀牙的神秘面纱,看看那些让人触目惊心的蛀牙烂到牙神经的图片,让你对牙齿健康有个更直观的认识。
蛀牙的演变过程

首先,得从蛀牙的起源说起。蛀牙,也就是龋齿,是由于口腔中的细菌分解食物残渣产生酸性物质,这些酸性物质会逐渐腐蚀牙齿的珐琅质,形成小洞洞。这个过程可能悄无声息,但时间久了,洞洞就会越来越大,最终可能烂到牙神经。
蛀牙的症状

当蛀牙发展到一定程度时,你可能会感受到以下症状:
1. 牙齿疼痛:这是蛀牙最明显的症状之一。一开始可能是轻微的疼痛,但随着蛀牙的加重,疼痛会越来越剧烈。
2. 牙齿敏感:冷热酸甜的食物都可能让你感到疼痛,这是因为蛀牙破坏了牙齿的珐琅质,使得牙本质暴露在外。
3. 牙齿变色:蛀牙会导致牙齿表面出现黑斑或黄斑,这是牙齿珐琅质被腐蚀的表现。
4. 牙齿松动:当蛀牙严重到一定程度,可能会影响到牙齿的支撑结构,导致牙齿松动。
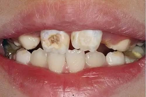
蛀牙烂到牙神经的图片

下面是一些让人触目惊心的蛀牙烂到牙神经的图片,让你直观地感受到蛀牙的危害。

这张图片展示了一颗蛀牙已经烂到牙神经的牙齿,可以看到牙齿内部已经严重破坏,牙神经暴露在外。

这张图片显示了一颗蛀牙已经烂到牙根的牙齿,牙根部分已经严重腐蚀,牙齿已经摇摇欲坠。
预防蛀牙的小贴士
为了避免蛀牙的困扰,以下是一些预防蛀牙的小贴士:
1. 早晚刷牙:每天早晚各刷一次牙,每次刷牙时间不少于2分钟。
2. 使用含氟牙膏:含氟牙膏可以有效预防蛀牙,因为氟化物可以增强牙齿的抵抗力。
3. 定期检查:每半年到一年进行一次口腔检查,及时发现并处理蛀牙。
4. 健康饮食:少吃甜食和高糖食物,多吃富含纤维的食物,有助于清洁牙齿。
5. 避免不良习惯:如咬指甲、用牙齿开瓶盖等,这些习惯可能导致牙齿受损。
蛀牙是一种常见的口腔疾病,但只要我们重视口腔卫生,养成良好的生活习惯,就能有效预防蛀牙的发生。记住,保护好牙齿,才能尽情享受美食带来的快乐!
